-
Featured News

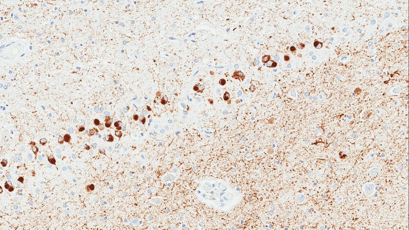
JACKSONVILLE, Fla. — Pick’s disease, a neurodegenerative disease of unknown genetic origin, is a rare type of frontotemporal dementia that affects people under the age of 65. The condition causes changes in personality, behavior and sometimes language impairment. In patients with the disease, tau proteins build up and form abnormal clumps called Pick bodies, which restrict nutrients to the brain and cause neurodegeneration. The only way to diagnose the disease is by looking at brain tissue under a microscope after a person dies.
Researchers at Mayo Clinic in Florida, University College London in England and collaborators worldwide have established the Pick’s Disease International Consortium to study a specific MAPT gene variation known as MAPT H2 that makes the tau protein and acts as a driver of disease. They investigated a connection between the gene and disease risk, age at onset, and duration of Pick’s disease. Their findings are reported in The Lancet Neurology.
Mayo Clinic researchers identified the first MAPT gene mutations for a behavioral form of dementia in 1998, and other genetic changes associated with related dementias in 2001, which paved the way to understanding the mechanisms of tau-related disease. This new study confirms a tau genetic factor linked specifically to Pick’s disease and opens up new avenues of therapeutic design.

“Our research could have profound implications for the development of therapies for Pick’s disease and other related neurodegenerative diseases, including Alzheimer’s disease and progressive supranuclear palsy,” says Owen Ross, Ph.D., a Mayo Clinic neuroscientist and senior author of the paper. The consortium hosts a database of clinical, pathological and demographic information about patients with the disease who donated their brain tissue for science.
To conduct the study, researchers investigated brain samples of 338 patients confirmed to have Pick’s disease to compare with blood samples from 1,312 neurologically healthy individuals. Patients confirmed to have the disease came from 35 brain banks and hospitals in North America, Europe and Australia between 2020 and 2023. The Mayo Clinic Brain Bank was among the sites in the study that provided the largest collection of samples.
Analyzing DNA from the blood samples and brain tissue, the research team recorded baseline information on study participants, including age at disease onset, age at death for those with Pick’s disease, and sex and age at blood collection for the control group. Disease duration was calculated by the difference between age at Pick’s disease onset and age at death. In addition, the researchers looked at clinical characteristics such as clinical diagnosis, impairment in behavior and language.
“We found that the MAPT H2 genetic variant is associated with an increased risk of Pick’s disease in people of European descent,” says Dr. Ross. “We were only able to determine that because of the global consortium, which greatly increased the sample size of pathology cases to study with Pick’s disease.”
The team’s next steps are to expand the consortium to the Middle East, Asia, Africa and Latin America, further resolve the genetic architecture of the disease, and assess this specific genetic variant as a biomarker or test for clinical diagnosis of Pick’s disease. There is currently no clinical test or diagnosis available for Pick’s disease. For the first time, the creation of the consortium may allow for the development of a clinical test.
Funding for this research at Mayo Clinic was supported in part by the National Institutes of Health, the National Institute of Neurological Disorders and Stroke, the State of Florida Ed and Ethel Moore Alzheimer’s Disease Research Program, and Mayo Clinic Alzheimer’s Disease Research Center. For a full list of authors, collaborating institutions and disclosures, see the paper.
###
About Mayo Clinic
Mayo Clinic is a nonprofit organization committed to innovation in clinical practice, education and research, and providing compassion, expertise and answers to everyone who needs healing. Visit the Mayo Clinic News Network for additional Mayo Clinic news.
Media contact:
